Tobacco Stain Removal & Dental Scaling in Kathmandu | Sydney Dental Clinic

 

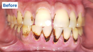
Brown discoloration of teeth is a common problem among people who consume tobacco, paan, gutkha, and cigarettes for a long time. At Sydney Dental Clinic, we recently treated a patient who was suffering from severe brown tooth stains developed over 15–20 years due to these habits.

The patient visited our clinic with the main concern of removing deep stains and improving smile appearance. This case highlights how professional dental scaling and proper counseling can restore oral health and confidence.

Causes of Brown Tooth Discoloration

Tooth discoloration develops when staining substances repeatedly stick to tooth surfaces over many years. The major causes include:

  • Tobacco smoking

  • Paan and gutkha chewing

  • Poor oral hygiene

  • Heavy calculus (tartar) build-up

  • Irregular dental checkups

These habits cause deep extrinsic stains that cannot be removed by regular brushing.

Patient Condition on Arrival

During clinical examination, the patient showed:

  • Heavy brown extrinsic stains

  • Visible calculus deposits

  • Mild gingival inflammation

  • Slight gum bleeding on probing

The condition was caused by long-term use of paan, gutkha, and tobacco smoking without proper professional cleaning.

Dental Scaling Treatment Process

To treat the condition, we performed professional dental scaling, which is the most effective method for:

  • Removing surface stains

  • Eliminating hardened plaque (calculus)

  • Cleaning below the gum line

  • Reducing bacterial infection

This procedure is safe, painless, and essential for gum health.

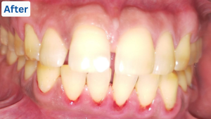
Results After Scaling

Immediately after the treatment:

  • The patient’s teeth appeared significantly cleaner

  • Most of the brown stains were removed

  • Calculus deposits were successfully eliminated

Post-treatment observation:

  • Mild gum inflammation and slight bleeding were noted

  • This was explained as a normal healing response after deep cleaning

Gum Bleeding After Scaling: Is It Normal?

Yes, mild bleeding and sensitivity after scaling is normal, especially if:

  • A large amount of calculus was present

  • Gums were already inflamed due to infection

With proper oral hygiene, the gums usually heal within a few days.

Oral Hygiene & Tobacco Cessation Counseling

After the procedure, the patient was guided on:

  • Proper brushing techniques

  • Daily flossing

  • Use of antibacterial mouthwash

  • Regular dental checkups

The patient was also strongly counseled to stop tobacco, gutkha, and smoking habits. We explained:

  • The harmful effects on teeth and gums

  • The risk of gum disease and tooth loss

  • The danger of oral cancer

  • The negative impact on overall health

The patient was given motivation and support for habit cessation.

Why Early Treatment is Important

Delaying dental treatment can cause:

  • Permanent staining

  • Severe gum disease

  • Tooth mobility

  • Bad breath

  • Oral infections

  • Increased cancer risk

Early scaling and habit control can completely prevent these complications.

Remove years of tobacco, pan, and gutkha stains with professional dental scaling at Sydney Dental Clinic. Get clean teeth, healthy gums, and expert oral hygiene guidance.

We provide high-quality service that you’ll only get in developed countries and at an affordable price.

Contact Us

+977 – 9841121943

sydneydentals@gmail.com

Kumaripati, Lalitpur, Nepal

Sydney Dental © 2025 | Designed by Suryani International

Book Your Appointment