
The Toothache Tree of Bangemudha: A Fascinating Dental Belief from Old Kathmandu
Around 90 years ago, in the historic area of Bangemudha, people had a unique and deeply rooted way of dealing

Around 90 years ago, in the historic area of Bangemudha, people had a unique and deeply rooted way of dealing

A young patient visited Sydney Dental Clinic with concerns about the appearance of her teeth. She felt her smile looked

A broken tooth can be both painful and emotionally distressing, especially when it affects your smile and confidence. At Sydney

A healthy smile plays a vital role in confidence, oral function, and overall well-being. At Sydney Dental Clinic, we regularly

A bright, confident smile is one of the first things people notice. At Sydney Dental Clinic Nepal, we specialize in

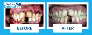
Gum bleeding, swelling, and persistent bad breath are warning signs of serious gum disease. At Sydney Dental Clinic, we recently

Brown discoloration of teeth is a common problem among people who consume tobacco, paan, gutkha, and cigarettes for a

Introduction Grinding your teeth, also known as bruxism, is a common problem many people face, often without even realizing it.

Smoking and Your Mouth: A Risky Relationship Smoking doesn’t just affect your lungs—it damages your mouth too. From stained

Dental implants offer a reliable solution for missing teeth, restoring your smile and confidence. They look, feel, and function like
We provide high-quality service that you’ll only get in developed countries and at an affordable price.
+977 – 9808384987
sydneydentals@gmail.com
Kumaripati, Lalitpur, Nepal